The Pneumonia Strikes

As I hinted at in the end of my last travel blog I was falling ill with something and as the day count hit double digits and my fever remained it was time to take it more seriously. Normally my body can fight anything with Ibuprofen and time, but this time I was losing this battle.
So like a regular millennial I opted for a Telehealth appointment so I could just work at home with a tiny little break for a meeting with a doctor. While a nice person on the other line - there is just a limit someone can do to treat you when meeting remotely. She had an idea that my cough and symptoms sounded like pneumonia, but couldn't diagnose that remotely.

So I got a prescription for some amoxicillin and some nasal sprays to help with the congestion with the caveat that if my fever didn't break in 48 hours on the antibiotic to visit a physical doctor.
Of course this is a blog because 48 hours later I woke up and took my temperature and I was still floating around 101, so this antibiotic was not curbing this fever I had. So I signed into my primary care website and looked for an appointment which unfortunately the closest one was 7 weeks out.
I'm not sure how my primary care is booked 7 weeks out - we must have an influx of people in Tampa all requiring medical services. If I waited 7 weeks I might be healed or dead - so I guess it was time to look into urgent care. Thankfully for me every single time I leave the neighborhood to head to work I pass an urgent care place within 15 seconds of pulling out onto the main road.

So I went to their website and saw they had availability basically every 20 minutes the whole day while supporting of course walk-ins. I figured walk-ins would probably go right when they opened, so I found a perfect time between some work meetings in the middle of the day.
Walking in 15~ min prior to my appointment and having to check in on a digital kiosk while someone right next to me was checking on the other was not the best experience. It's not the most elegant experience to check into a kiosk that is 2ft away from another while standing next to presumably sick person. However, I was sick so what I can I say.
As I sat checked in I could see people getting called back that were there prior to me, so as no one remained I could recognize I knew I had to be next. Sure enough 6 minutes after my appointment time I was called back. Spoke with staff member who did all the basics and was told to wait for the doctor.
This took an hour of waiting, but thankfully I was in one of those rooms facing outside so I could overhear someone outside ripping into someone on the phone. So while I was getting bored waiting I had some entertainment of someone yelling at a presumed significant other about the weirdest things.
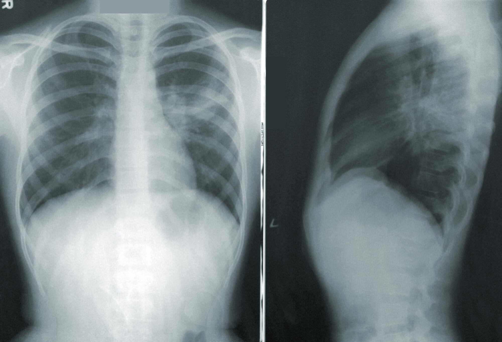
Long story short - the Doctor comes in and does a few breathing tests and wants me to get an X-ray to confirm Pneumonia. I walk down the hall into a different room and take some shots of my lungs and head on out of there with 2 prescriptions:
- doxycycline (pill)
- brompheniramine-pseudoephedrine (liquid)
I'm told to await a call after a radiologist reviews the findings, but in the meantime both the prescriptions will help. They call a few hours later and confirm my lungs have the findings consistent with Pneumonia. I appreciate this validation because hitting like day 14 and unable to heal myself was a bit maddening.
I'm hitting 72 hours on the above medication now and starting to finally sleep through the night without additional medication. My coughs are disgusting, but the doctor said it might take months to fully heal the lungs. Hopefully I'll be rid of this soon and can resume normal date night, hobby programming and more.
